Twisted Ankle (sprain) - is it alright to walk with pain and ligament damage
There's a strong possibility you've dealt with the "ligament or tendon sprain or strain" if you twisted ankle while playing sports, gone over the ankle while running/walking, or suffered a tumble while doing activities of daily living. Every day, our physiotherapists and podiatrists see these injuries in our clinics.
Ankle sprains can happen to anyone at any time, from sports person of any level to unintentional accidents.
According to British Journal of Sports Medicine 2022 - In the United Kingdom, over 300,000 ankle sprains are presented to emergency department each year with ankle sprains.
It is very important to get assessed by a clinician such as physiotherapist or podiatrist if you unable to weight bear on injury leg/ankle, unable to walk or continue activity.
It is not advisable to continue activity or walk until you get assessed by a trained clinician.
How Do Ankle Sprains Happen?
Ligaments and tendons are connective tissues. Ligaments aid in the stabilisation of joints and the prevention of excessive movement and tendon’s moves the bone or joint within normal range. Ankle sprains happen when the foot twists, rolls, or turns in ways it shouldn't. It can happen when the foot is planted incorrectly, when the ground is uneven, or when the joint is subjected to an extraordinary amount of force. The ligaments and tendons that surround the ankle can become significantly overstretched and injured as a result of this. Inflammation, edema, and bruising occurs around the injured joint when a ligament or tendon is damaged or sprained. The ligaments on the outside of the ankle are most commonly injured in sprained ankles; however, ligaments and tendons inside and back of the ankle can be injured depending on the mechanism of injury.
Ankle Sprain – Common Symptoms
Inability to bear weight on the injured ankle or leg
Ankle pain can range from mild to severe
Ankle joint movement limited
Swelling and Inflammation around the ankle
Bruising around the ankle
Popping sound or sensation at the time of injury and unable to continue activity
Ankle instability is a condition in which the ankle is unstable (in severe sprains)
How to Diagnose Ankle Sprain
A physiotherapist performs a thorough examination to assess a level of sprained ankle. It's critical to rule out the potential of a fracture before grading the severity of the sprain.
Grade 1 sprain: The ligament fibres have been stretched slightly and have suffered some injury.
Grade 2 sprain: The ligament is partially torn. When the ankle joint is checked and handled in particular ways, it develops abnormal looseness (laxity).
Grade 3 sprain: The ligament is completely torn. There is a lot of instability.
The severity of the ankle sprain must be determined because it will determine when the injured person can return to sports or daily activities.
How do I know if I have Damaged the Bone or Ligament Tendon
National Institute of Clinical Excellence United Kingdom 2020 Guidelines suggests consider arranging referral to an Emergency Department for an X-ray depending on clinical judgement including Ottawa Rules by assessing clinician as fracture can be suspected in certain cases.
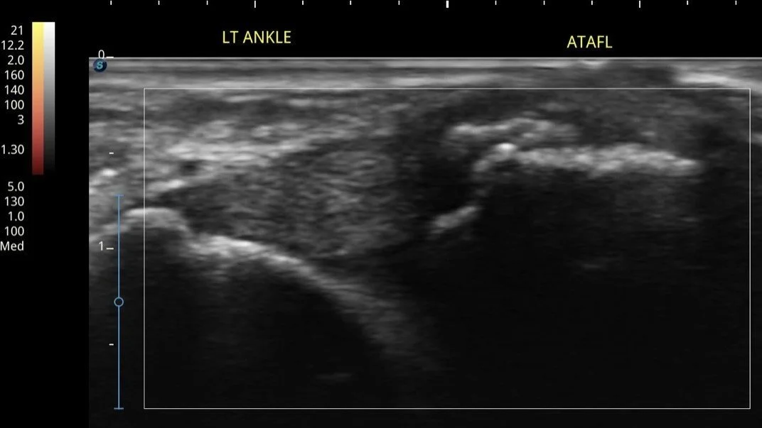
Musculoskeletal Ultrasound evaluates the integrity of the ligaments and tendons as well as assess ankle stability (British Musculoskeletal Disorder 2021). Benefits of Ultrasound over the MRI are clinician can perform dynamic interrogation to check full integrity of tendon and ligaments, very affordable price as compared to MRI, same day appointments and same day result.
Ultrasound: Partial Thickness Tear in TaloFibular Ligament with Bony Irregularity and Swelling in the Ligament following a Sprain Injury
What are the Steps to treat Sprained Ankle and What Can A Physiotherapist or Podiatrist Do For You?
RICE (Rest, Ice, Compression, Elevation)
Soft tissue massage
Activity modification advice in the short term or long term - consult physiotherapist or podiatrist
Taping or brace - consult physiotherapist or podiatrist
Joint mobilisation - consult physiotherapist or podiatrist
Bespoke or tailored exercises
Strength training
Gait training (walking and running training)
Balance training (Proprioception)
Return to activity program - graded program
How Long Should it Take for a Sprained Ankle to Heal?
The physiotherapist or podiatrist will create a treatment and rehabilitation plan based on the diagnosis. Repeat Ultrasound scan and examination in a follow up clinic can be done to check progress of healing and response to treatment as well as rehabilitation can be focused accordingly to gain function. It can take up to few weeks before you can go back and start doing activity you like but this does not mean you may not be able to walk or perform activities of daily living.
Ankle sprains can have long-term consequences such as chronic instability, restricted range of motion, and pain if not treated properly. Appropriate physiotherapy or podiatry intervention and rehabilitation are critical for reducing pain, increasing range of motion, and reducing the risk of recurrent sprains in the future.
Come in to see us if you have sprained your ankle since all of our physiotherapists and podiatrists are full trained in treating ankle sprains and have a wealth of expertise with this ailment.
To book for an appointment you can call our normal reception line, 0121 285 5656 or email direct to hello@thepodiatryclinics.co.uk requesting an appointment. Please include your name, date of birth, your address and GP contact details.
You will be sent a form to complete and forward back to us or bring along on the day.
REFERENCES:
Pain to gain, the lateral ankle sprain, explained! – UK SEM Trainee Blog Series. Posted on May 23, 2022 by British Journal of Sports Medicines
National Institute of Clinical Excellence United Kingdom 2020 Guidelines. Sprains and strains: How should I assess a suspected sprain or strain? Last revised in April 2020. https://cks.nice.org.uk/topics/sprains-strains/diagnosis/assessment
Wenning, M., Gehring, D., Lange, T., Fuerst-Meroth, D., Streicher, P., Schmal, H. and Gollhofer, A. (2021). Clinical evaluation of manual stress testing, stress ultrasound and 3D stress MRI in chronic mechanical ankle instability. BMC Musculoskeletal Disorders, [online] 22(1). Available at: https://bmcmusculoskeletdisord.biomedcentral.com/articles/10.1186/s12891-021-03998-z

